Uso na Flacidez Cutânea
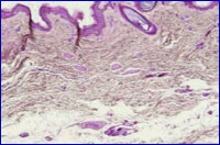
A melhora sobre elasticidade cutânea é o efeito terapêutico
mais precoce que se obtém com o tratamento. Esta deve-se
sobretudo ao incremento da perfusão cutânea (aumento da
pO2), e conseqüente aumento e melhor distribuição do
colágeno.



Paciente de 60 anos com grande flacidez, estrias e
cicatriz mediana
antes, intermediária e pós tratamento (12 sessões)